У травм, болезней и различных расстройств всегда есть процент выживания, указывающий на вероятность того, выживет ли человек
Каждый день во всем мире у многих детей возникает потребность в неотложной медицинской помощи. Успехи в области медицины сделали их лечение повседневной задачей для врачей. Однако бывают случаи, когда даже самые продвинутые специалисты оказываются озадаченными тем, что они слышат и видят. В этом списке мы рассмотрим 10 необычных медицинских случаев с детьми, зарегистрированных за последние годы, уделяя особое внимание симптомам и результатам малышей.
Человеческое тело продолжает удивлять врачей, сообщающих о встречах с пациентами с редкими заболеваниями или уникальными способностями, пишет Live Science. Не все случаи вполне понятны, но многие врачи установили причины необычного состояния. А своевременная постановка диагноза с последующим соответствующим лечением привела к тому, что ряд пациентов в этих историях выздоровел.

Это редкое состояние, называемое внутрижелудочковым плодом, было обнаружено после того, как у ребенка увеличилась голова и была задержка развития двигательных навыков. Плод происходит из той же оплодотворенной яйцеклетки, что и девочка, поэтому если бы плод развивался нормально, это были бы ее однояйцовые близнецы. Однако когда один плод охватывает другой, поглощенный близнец обычно перестает развиваться. Плод у плода встречается очень редко, примерно 1 из 500 000 рождений. Чаще явление возникает в животе, а не в голове.

17-летний подросток из Нидерландов потерял способность говорить и понимать по-голландски на 24 часа после ортопедической операции. Во время этого случая синдрома иностранного языка (FLS) он мог общаться только на английском языке, на котором он никогда не говорил вне класса.
По сообщению все началось с того, что подросток попал в больницу на операцию на колене после инцидента во время футбольного матча. Это была его первая операция под общим наркозом. Когда он проснулся, он был растерян и думал, что находится в Соединенных Штатах, а именно в Юте. Психиатр подтвердил, что подросток мог отвечать на вопросы только на английском языке - адекватно, но не быстро.
Когда друзья пришли к нему в гости примерно через 24 часа после операции, мальчик спонтанно снова начал понимать и говорить на голландском. Во время психологического обследования на следующий день подросток сказал, что помнит, что только разговаривал и понимал по-английски. Однако, возможно, он так подумал, потому что рассказали об инциденте.

В отчете о случае врачи отметили, что у девочки не было других осложнений, связанных с заболеванием, известным как врожденный генерализованный терминальный гипертрихоз. Основная причина, по которой ее обратились за медицинской помощью, заключалась в том, что ее родители были встревожены ее внешним видом. Врачи заверили ее родителей, что заболевание доброкачественно, и предложили несколько вариантов удаления волос для ребенка.

В крайне редком случае у 18-месячного ребенка была диагностирована аллергия на воду, известная в медицине как аквагенная крапивница. Всего через 15 секунд после контакта с водой у нее начались серьезные кожные реакции, включая крапивницу и сыпь.
Некоторые теории предполагают, что крапивница может быть вызвана веществом, растворенным в воде, например хлором, а не самой водой, или что-то на коже пациентов выделяет токсическое вещество при соприкосновении с водой.

Глаза 6-месячного ребенка изменили цвет с карих на темно-синие индиго после того, как ему дали противовирусный фавипиравир для лечения COVID-19. Фавипиравир не дает вирусам воспроизводить свой генетический материал. Меньше чем через сутки после того, как ребенку был дан противовирусный препарат, его глаза стали сиять голубым на солнце. Медицинское обследование выявило скопление синего пигмента в обеих его роговицах - прозрачной наружной части глаза. Через пять дней после прекращения приема противовирусного препарата глаза мальчика вернулись к своему исходному цвету.
Авторы отчета предположили, что синий цвет мог быть вызван накоплением флуоресцентных химических веществ в роговице, когда препарат расщеплялся в организме.

В истории болезни врачи описали, как в их отделение обратилась 7-летняя девочка с болями в животе в течение трех лет, стертыми зубами и кариесом. Девочка пять лет ела куски кирпича, несмотря на предупреждение родителей.
Младенцы часто переживают временный период, когда кладут в рот разные предметы. Однако, когда ребенок, прошедший эту фазу, снова начинает есть то, что не является пищей, у него есть повод для беспокойства. Когда люди начинают есть непродовольственные предметы, такие как камни, кирпич, мел и мыло, это состояние называется пика. Возможные причины пика включают дефицит железа и влияние свинца. Ребенку, о котором идет речь, давали добавки с железом, цинком и кальцием, и через шесть месяцев его привычка прекратилась.

Когда 14-летний мальчик пришел на плановое стоматологическое освидетельствование, стоматологи обнаружили, что на его первом левом премоляре было две коронки. Согласно отчету о случае, у него не было никаких симптомов, связанных с зубом, и он не нуждался в каком-либо лечении. Геминация зубов, широко известная как двойные зубы, является нарушением развития формы зуба, возникающей в результате неудачной попытки разделения одного зачатка зуба.

В отчете описывается случай ребенка с сиреномелией, также известной как "синдром русалки", состояние, при котором ребенок рождается с одной средней нижней конечностью вместо двух ног. Ребенок родился с сросшимися нижними конечностями и сросшимися ступнями, которые были неправильно повернуты и выровнены, что делало их похожими на плавники. Ребенка перевели в неонатальное отделение, но он умер через семь часов жизни.

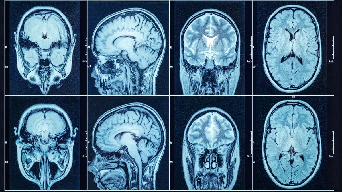
Четырехмесячного мальчика отвезли на медицинское обследование, поскольку его голова росла быстрее, чем это было нормально для его возраста. Сканирование мозга подтвердило, что у него опухоль головного мозга. Однако, согласно отчету о случае, во время операции на головном мозге по удалению опухоли врачи обнаружили, что она содержала несколько полностью сформировавшихся зубов.
Выяснилось, что у ребенка краниофарингиома - редкая разновидность доброкачественной опухоли головного мозга. После операции его врач сказал, что мальчик "чувствует себя очень хорошо, учитывая все обстоятельства".

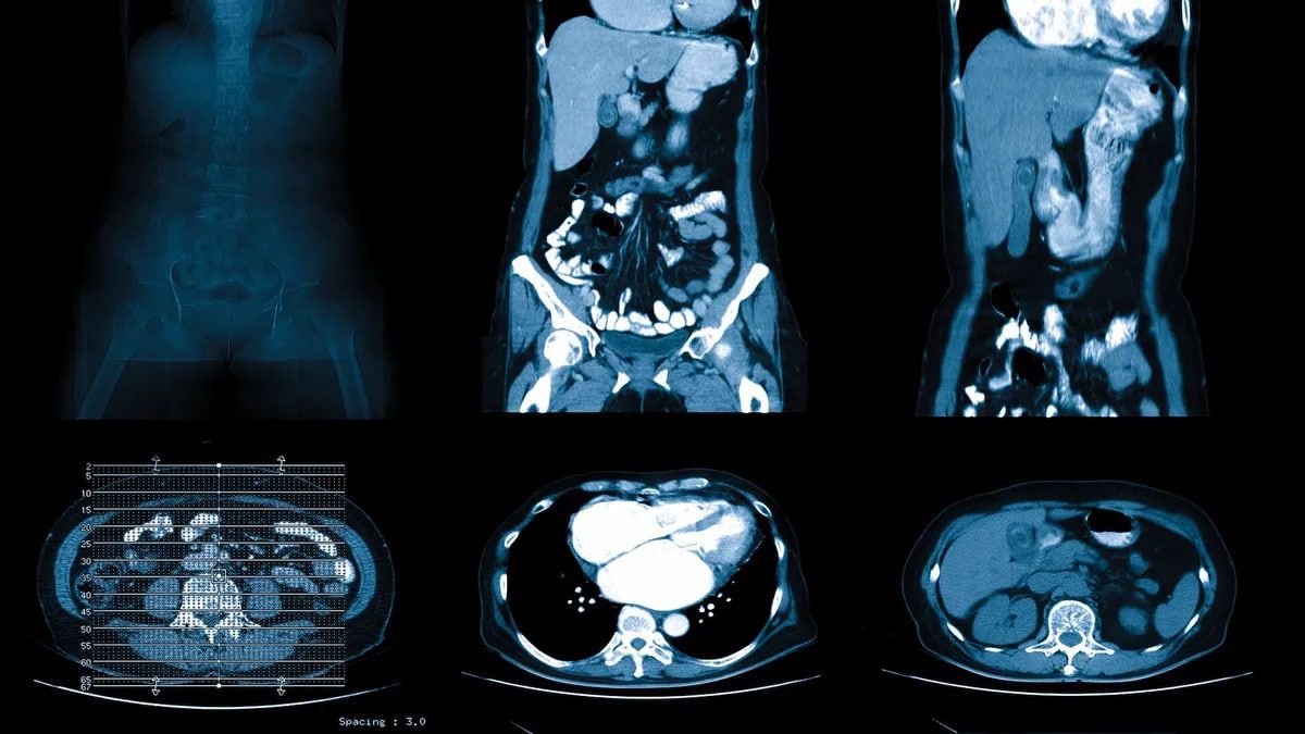
Врачам удалось спасти жизнь девочке после того, как у нее развилось редкое и потенциально опасное для жизни состояние, называемое заворотом желудка, при котором часть или весь желудок возвращается более чем на 180 градусов. Когда это случилось с 12-летней девочкой, она испытывала ужасные боли, не могла нормально дышать и не могла опорожняться.
Согласно сообщению, девочка выжила благодаря своевременной диагностике и хирургическому лечению. Однако примерно в 30–50% случаев это заболевание приводит к смерти.
Заворот желудка обычно вызывается грыжей, при которой часть желудка выпячивается в грудную полость через отверстие диафрагмы. Однако в случае с девочкой живот свернулся сам собой, потому что удерживающие ее на месте связки были ослаблены.
Подписывайтесь на наш Telegram-канал, чтобы не пропустить важные новости. Подписаться на канал в Viber можно здесь.