Найдивовижніші випадки, які непросто пояснити: від волохатих язиків і тимчасових зморшок до танцювальної чуми
Щодня у всьому світі у багатьох людей виникає потреба у невідкладній медичній допомозі. Успіхи в галузі медицини зробили їх лікування повсякденним завданням для лікарів. Однак бувають випадки, коли навіть найпросунутіші фахівці виявляються спантеличеними тим, що вони чують та бачать. У цьому списку ми розглянемо 11 незвичайних медичних випадки, зареєстрованих за останні роки, приділяючи особливу увагу симптомам і результатам пацієнтів.
Людське тіло продовжує дивувати лікарів, які повідомляють про зустрічі з пацієнтами з рідкісними захворюваннями чи унікальними здібностями, пише Live Science. Не всі випадки цілком зрозумілі, але у багатьох лікарі встановили причини незвичайного стану. А своєчасна постановка діагнозу з подальшим відповідним лікуванням призвела до того, що низка пацієнтів у цих історіях одужала, але деякі з випадків закінчилися смертельними наслідками.

Чоловік виявив, що на його язиці ростуть зелені "волоски" після того, як у нього розвинулося доброякісне захворювання, відоме як волохатий язик. Lingua villosa, як його ще називають, виникає, коли крихітні шишки на язиці, звані сосочками, не відпадають, як зазвичай, і тому виростають за межі своєї нормальної довжини, яка зазвичай становить близько 1 міліметра. У міру зростання шишки набувають певного кольору - зазвичай зеленого, коричневого, білого, зеленого або рожевого - залежно від їжі, бактерій та інших матеріалів, з якими вони стикаються.
Це захворювання досить поширене і в якийсь момент життя зачіпає близько 13% людей. Вживання м'якої їжі та вживання великої кількості кави, чаю або алкоголю можуть збільшити ризик розвитку волохатого язика. У цьому випадку 64-річний чоловік дотримувався інструкцій лікарів і щодня чистив язик зубною щіткою, і за шість місяців його язик повернувся в нормальний стан, наголошується у звіті про випадок.

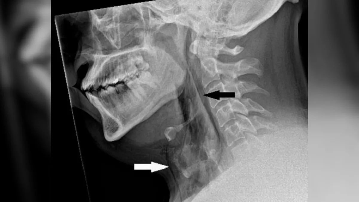
Чоловік років 30 вів машину, коли відчув позив чхнути. Він придушував чхання, затискаючи ніс і закриваючи рот, але одразу ж відчув сильний біль у шиї. Коли він звернувся у відділення невідкладної допомоги, комп'ютерна томографія його шиї та грудної клітки виявила розрив трахеї завдовжки в півсантиметра.
Лікарі відмовилися від операції, оскільки в іншому життєві показники чоловіка були нормальними. Проте пацієнт залишився під наглядом. Через п'ять тижнів після виписки подальша комп'ютерна томографія показала, що його трахея зажила.
"Ми підозрюємо, що трахея перфорувалася через швидке підвищення тиску в трахеї під час чхання із затиснутим носом і закритим ротом", - написала команда медиків, порадивши людям не придушувати чхання в такий спосіб.

Одна з найбільших нерозгаданих загадок громадської охорони здоров'я - причина тривікової "танцювальної чуми" в Європі. Повідомляється, що починаючи з 13 століття люди в Німеччині, Нідерландах та Італії збиралися великими натовпами і відчайдушно танцювали, доки не втомлювалися або не вмирали. У кожному зібранні візьмуть участь до 1100 осіб. У літературі є докладні описи таких танцювальних хвороб, але точна причина залишається невідомою.
Цілком імовірно, що ця танцювальна чума, або хореоманія, була спричинена цілою низкою чинників. Історичні дані припускають, що це було масове психологічне явище, спричинене соціальними негараздами, і що воно проявилося у формі танцю через базову культуру того періоду.

Пацієнт спав лише дві-три години на добу у випадку фатального сімейного безсоння (FFI). У 57-річного чоловіка спостерігалося прогресуюче погіршення пам'яті протягом року, перш ніж його госпіталізували. Протягом дня він часто відчував слабкість і часто засинав, коли сидів або лежав. Його здатність користуватися паличками для їжі швидко погіршилася, незабаром після цього у нього виникли проблеми з ходьбою.
FFI - це тип спадкової хвороби пріонного білка, для якої не існує ефективного лікування. Пріонні захворювання виникають, коли клітини виробляють дисфункціональні білки, які накопичуються в мозку, що призводить до прогресуючого пошкодження. Симптоми FFI включають безсоння, рухові розлади та гормональні зрушення. Тести зазвичай виявляють мутації в гені PRNP; одна мутація під назвою D178N пов'язана як із FFI, так і з другим пріонним захворюванням.

"Звідки я тебе знаю?" поліцейський продовжував розпитувати незнайомців. У 46-річного чоловіка виникли періодичні напади тривоги, кожен з яких тривав близько 15 секунд. Через шість місяців після початку цих епізодів у нього стався напад. Його результати МРТ і неврологічного обстеження були нормальними. Однак через місяць після нападу він повідомив про нові симптоми. Крім проблем із пам'яттю, він зіткнувся з дивним явищем: кожна людина, яку він бачив, виглядала знайомою.
У звіті про справу докладно описано, що "надзнайомство" офіцера також відбувалося, меншою мірою, з обличчями на фотографіях і по телебаченню, але не з голосами. Пацієнти з гіперфамільярністю облич (HFF) швидко розуміють, що помиляються. Зазвичай у них спостерігаються ураження лівої півкулі та скроневої частки мозку, але права півкуля та лобові ділянки мозку залишаються нормальними.
Ліва півкуля бере участь в ідентифікації унікальних рис обличчя, а права, як відомо, пов'язує обличчя з емоційним і особистим значенням. Таким чином, HFF може виникнути, коли ліва півкуля порушена, а права півкуля надкомпенсована, що призводить до хибного відчуття знайомого. Автори звіту припустили, що ГЛФ трапляється частіше, ніж передбачалося, оскільки переважна більшість випадків, імовірно, залишаються непоміченими.

58-річна жінка довгий час страждала на нечутливість до болю і згадувала, як у дитинстві у неї були порізи, які вона не відчувала. Вона також не відчувала болю під час дотику до дуже гарячої або холодної води, хоча могла помітити різницю між ними, як описали її лікарі у звіті про випадок. Жінка, у якої двоє дітей, також не відчувала болю під час пологів.
Їй поставили діагноз "вроджена нечутливість до болю" (CIP), рідкісне захворювання, викликане мутаціями в гені SCN9A . Люди з CIP можуть відчувати різні відчуття, але не можуть сприймати біль. Як і в інших пацієнтів із CIP, у жінки була аносмія, тобто вона не могла відчувати запахи.

Хоча гикавка зазвичай через деякий час минає сама собою, це не завжди так. Фактично, майже 4000 людей щороку госпіталізуються у США через гикавку. Так, 22-річний чоловік повідомив, що гикав весь день протягом двох років. Минулі методи лікування, які не були описані у звіті, не допомогли. Через хронічну гикавку він звільнився з роботи, і його світське життя обірвалося. Він також почав відчувати болі в животі та мав анемію.
Зрештою він вирішив пройти операцію з лікування гастроезофагеального рефлюксу, який, як вважалося, був причиною гикавки, і він гикав впродовж усієї процедури. Хоча після операції частота його гикавки зменшилася, повністю він не вилікувався. Хоча часто неможливо визначити єдину причину хронічної гикавки, в деяких випадках вона може включати гастроезофагеальну рефлюксну хворобу і недостатність надниркових залоз.

Чоловіка заарештували за "водіння в нетверезому вигляді", хоча він стверджував, що не пив. Після цього інциденту він звернувся до клініки в Огайо, де лікарі виявили в його зразках випорожнень штами Saccharomyces boulardii і Saccharomyces cerevisiae, відомих як пивні дріжджі.
Згідно зі звітом про випадок, опублікованим у журналі BMJ Open Gastroenterology, у чоловіка був стан, званий синдромом автопивоварні, за якого мікроби в кишечнику перетворюють вуглеводи на алкоголь. Цей діагноз також пояснив, чому у нього були епізоди загадкового сп'яніння і "затуманення мозку". Чоловіка вилікували після того, як лікарі призначили йому протигрибкові препарати і безвуглеводну дієту протягом шести тижнів.

У загадковому випадку в німця стався напад, коли він намагався вирішити головоломку-судоку. Згідно зі звітом про справу чоловіка, він не завжди так реагував на судоку. Під час лижної прогулянки 2008 року він був похований у снігу лавиною, втратив свідомість, а потім йому зробили штучне дихання. Чоловік вижив, але оскільки його мозок був позбавлений кисню протягом 15 хвилин, у нього з'явилися посмикування м'язів рота і ніг. Після прийому протиепілептичних препаратів він почав одужувати.
Але, намагаючись розв'язати головоломку судоку в реабілітаційному центрі, чоловік почав відчувати мимовільні посмикування в лівій руці, звані клонічними судомами. Пізніше лікарі виявили, що напади були викликані тим, що чоловік уявляв числа в сітці судоку в трьох вимірах, що, як повідомляється, допомогло йому розв'язати головоломки. На жаль, це поклало край захопленню чоловіка, оскільки це був єдиний спосіб уникнути нападів.

Пеніцилін - один із найбільш часто використовуваних антибіотиків у всьому світі, але, як і будь-який інший препарат, він може мати побічні ефекти. 40-річному чоловікові з болем у горлі для лікування тонзиліту призначили пеніцилін. Кілька днів по тому у нього на пахвах, у паху і на сідницях з'явився висип у разі "синдрому бабуїна", названого на честь схожості з червоним забарвленням спини деяких мавп.
Стан, який раніше називали "симетричною інтертригінозною і згинальною екзантемою, пов'язаною з прийомом ліків", зазвичай спричиняється алергічною реакцією на пеніцилін або інші речовини, такі як ртуть. Згідно з історією хвороби чоловіка, висип зник після зміни ліків.

Згідно зі звітом про випадок, опублікованим у журналі JAMA Dermatology, коли чоловік опускав руки у воду, на руках з'являлися "надмірні зморшки", які зникали приблизно через 30 хвилин після того, як вони висихали. Захворювання, зване аквагенною шприцевою акрокератодермією (АСА), є рідкісним шкірним захворюванням, яке зазвичай трапляється в молодих жінок, але в цьому разі воно вразило чоловіка у віці 20 років. Найчастіше це відбувається у людей з муковісцидозом.
Чоловік звернувся по медичну допомогу після того, як страждав від цього захворювання протягом трьох років: шкіра на його руках напухала, вкривалася зморшками і лусочками при кожному контакті з водою. Долоні чоловіка не постраждали, що незвично, але тим не менш йому поставили діагноз АСА. Його лікували маззю, що містила кортикостероїд і зволожувальний крем, і через місяць його симптоми почали поліпшуватися.
Підписуйтесь на наш Telegram-канал, щоб не пропустити важливих новин. Підписатися на канал у Viber можна тут.